ESTUDIOS
La radiografía panorámica es el examen 2-D de rutina más solicitado. Su potencial como herramienta diagnóstica radica en la posibilidad que tiene el odontólogo de observar la boca entera en una sola toma, incluyendo los dientes, la mandíbula, maxilar superior, y las estructuras y tejidos circundantes.
- De bajo costo
- rapidez
- mayor seguridad debido a la baja dosis y tiempo de exposición a la radiación.
El modo panorámico de la mitad, izquierda o derecha, significa que solo se irradia el medio arco correspondiente. Estos dos tipos de exámenes se utilizan:
- normalmente cuando ya se sabe que el paciente tiene un problema en solo una de las mitades del arco, de modo que es posible reducir la radiación al paciente.
El examen de dentición frontal toma una radiografía del área de la dentición frontal (aproximadamente de canino a canino). Se usa para
- Reducir las dosis de radiación al paciente cuando ya se sabe previamente que tiene un problema en esa zona.
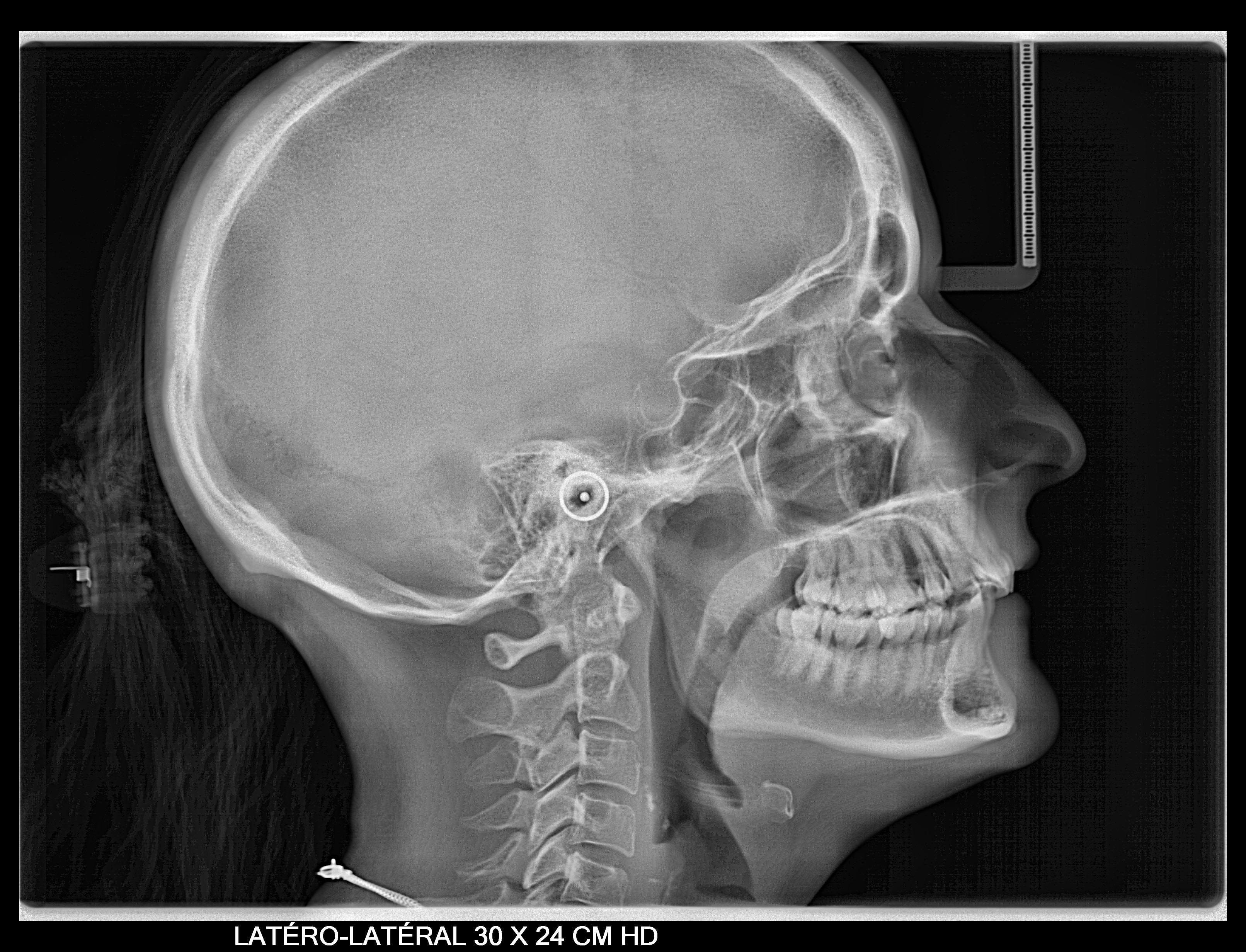
Se obtiene una imagen radiografía del perfil del paciente, del cráneo y las estructuras óseas de la cara, también de tejidos blandos. Fundamental para:
- Los estudios de ortodoncia y cirugía maxilofaciales, ya que permiten medir los ángulos y proporciones de los huesos de la cara del paciente y de este modo conocer la relación entre sus estructuras faciales. También conocidas como cefalometrías.
Puede seleccionarse el área de escaneo horizontal entre tres longitudes distintas de 18, 24 o 30 cm de altura completa (24 cm) o altura reducida (18 cm).
Se obtiene una imagen radiografía frontal del paciente (cráneo, estructuras óseas y tejidos blandos) sirve para:
- Valorar asimetrías faciales, desviaciones de la línea media, obtener una visión de los senos maxilares y diagnosticar casos de sinusitis.
El área de escaneo horizontal se fija en 24 cm, disponible en altura completa (24 cm) o altura reducida (18 cm).
Es un estudio que se utiliza para:
- Evaluar la edad ósea del paciente y poder establecer una relación con respecto a su edad cronológica, con el fin de determinar el nivel de desarrollo y maduración.
- Diagnosticar trastornos de desarrollo asociados a factores endocrinos y alteraciones genéticas.
Es una técnica radiográfica simple, indolora, muy baja dosis de radiación que consiste en tomar una radiografía de la mano izquierda del paciente (estructuras óseas, la zona carpal de la muñeca y la zona distal del antebrazo).
Es el más completo sistema de imágenes odontológicas y máxilo-faciales donde obtenemos imágenes y una reconstrucción en tres dimensiones (3D) de alta resolución de los dientes, huesos maxilares superiores e inferiores, estructuras óseas nasales y las estructuras anatómicas faciales del paciente.
- Ideal para diagnósticos precisos de implantes, de dientes retenidos, endodoncias, ATM, lesiones o patologías mandibulares y periodoncias.
- Es el diagnóstico por imagen 3D más completo en odontología.
- Gracias al equipo que contamos este estudio es de mayor seguridad debido a la baja dosis y tiempo de exposición a la radiación.
El examen puede diagnosticar o detectar:
- Defectos congénitos en los senos paranasales
- osteomielitis (infección en los huesos de los senos paranasales)
- Lesión en la cara sobre los senos paranasales a raíz de un traumatismo
- Masas y tumores, incluso cáncer, pólipos nasales, epistaxis (la causa de sangrados nasales repetitivos)
- Sinusitis (una infección en los senos paranasales)
La tomografía de articulación temporomandibular, una prueba de imagen no invasiva que nos permite obtener imágenes detalladas de la mandíbula y la articulación que la conecta con el cráneo.
- Permite diagnosticar disfunción articular temporomandibular (ATM).
Este estudio nos permite:
- Elegir obtener imágenes y una reconstrucción en tres dimensiones (3D) del maxilar superior con sus respectivos dientes de manera individual y por el otro lado del maxilar inferior con sus respectivos dientes.
- Con esto logramos disminuir aún más la dosis de radiación si previamente el profesional identifica que el problema está en un solo maxilar.
Nos permite obtener imágenes y una reconstrucción en tres dimensiones (3D) de un grupo dental (3 o 4 dientes), es un diagnóstico preciso y muy utilizado en endodoncia (tratamientos de conductos), sirve para ver:
- El recorrido y curvaturas de los conductos
- Determinar si existen conductos calcificados
- Evaluar retratamientos
- Localizar y delimitar reabsorciones externas o internas
- Planificar de endodoncia quirúrgica
- Resolver accidentes operatorios
- Seguimiento de tratamientos











